滞在記1/21

| HOME | ちゅらサァ〜滞在記08.1.21 |

ちゅらサァ〜滞在記/宮古島・来間島

2008年1月21日

DSCF0871.gif

2008年1月21日(月)気温:20°

写真をクリックすると拡大。さらに矢印クリックで、次々と見れる。
DSCF0867.gif那覇空港の宮古行きゲート
DSCF0869.gif宮古空港ターミナル。立派デッス。
DSCF1067.gif宮古空港。ブーゲンビレアがいっぱい。
DSCF0899.gif外車ヒュンダイのレンタカーで出発。なかなかイイゾ〜
DSCF0873.gif来間島への途中。
DSCF0877.gif来間島へ 来間大橋を通過中。
DSCF0879.gif来間島。竜宮城展望台。
DSCF0898.gif竜宮城展望台から 来間大橋を望む、対岸が宮古島です。
DSCF0890.gif竜宮城展望台の売店にある看板。
DSCF0896.gif竜宮城展望台のトイレ
DSCF0904.gif来間島。長間浜。
DSCF0921.gif宮古島へ戻る、来間大橋を通過中。来間島にはプラウ、プラソイラがゴロゴロある。
DSCF0926.gif宮古猫。車窓を開けたら窓にジャンプしてきたのでびっくりしたっちゃ。
DSCF0932.gifさとうきびの収穫時期で道路に積んである。今年は豊作で、景気がいいよ。
DSCF0936.gifさとうきびの収穫前の立毛状態です。
DSCF0942.gifさとうきび。手前は生育中、後方は生育後期。
DSCF0944.gifうえのドイツ文化村。昔ドイツ船の座礁した。数年後その記念でドイツが建造した。
DSCF0950.gifうえのドイツ文化村。
DSCF0983.gifイムギャーマリンガーデン。山の頂上の展望台の屋根に牛が乗っている。ナ〜ゼ〜?
DSCF0988.gifイムギャーマリンガーデンの売店に止まっていた。やすい
DSCF0995.gif保良泉ビーチ。ものすんごい下り坂、ちょ〜ビビリ入る。
DSCF1004.gif東平安名崎。島の右端にある。強雨風で灯台までいけず傘ぶっ壊れる。
DSCF1009.gif吉野海岸
DSCF1010.gif新城海岸
DSCF1011.gif宮古島市熱帯植物園。今日は島の南半分を制覇。
DSCF1051.gif宿泊先のペンションMU
DSCF1053.gifフロント。MUはダイビングの営業もやっている。
DSCF1038.gif夕食は食事処「蔵」。メニューに注目です。
DSCF1034.gif「蔵」のトイレにステッカーが…
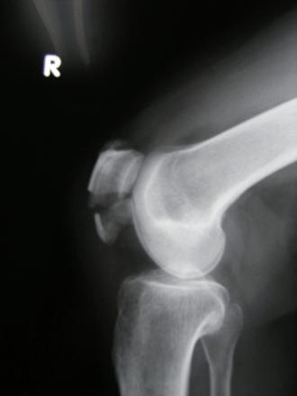
DSCF1043.gif食事中に膝が悪化し、PM9:30頃、沖縄県立宮古病院に連れてもらう。
DSCF1044.gif膝の皿が横に割れている(半月板骨折)「手術です」といわれる〜
DSCF1065.gif急遽明日、沖縄へ戻って手術をすることに…